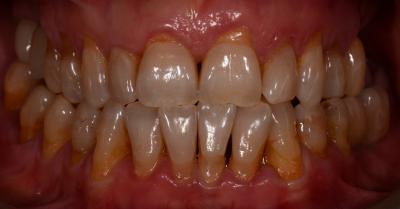
TEDAVİLER